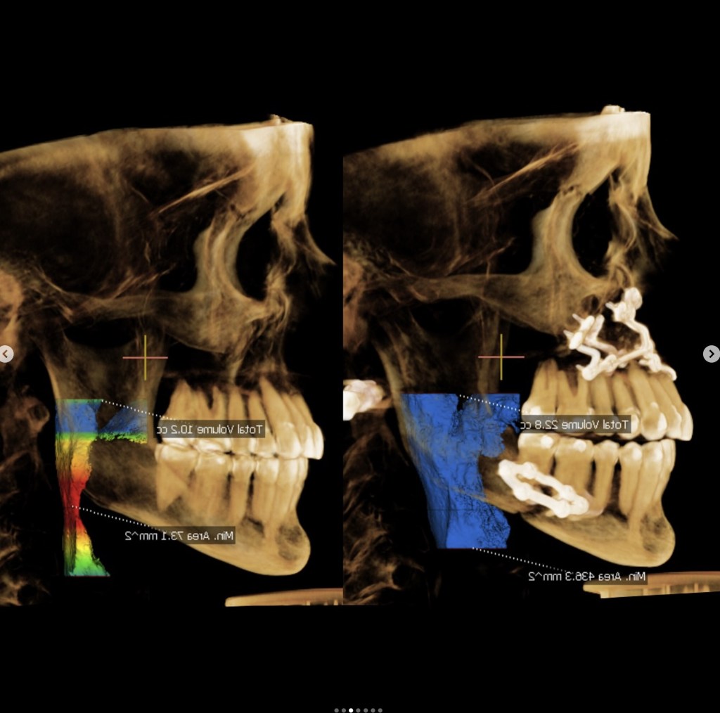
What is the role of craniofacial development on total body health? Nowadays, when we hear about craniofacial defincies, the first association in the medical field is about airways. Patients who suffer of Obstructive Sleep Apnea (OSA) find relief and improve their health when undergoing treatments aimed at their jaws. In particular, they look for palatal expansion (whether via MSE, MARPE, EASE or other methods) and jaw surgery. The association is easy: smaller jaws equal to smaller airways. You can see in the picture below, the increase in airway volume when patients undergo jaw surgery.



This is a first step towards holistic health, but it is my believe that craniofacial development plays a key role in many other poor understood conditions and pathologies of modern societies. I explained in few articles (Maxilla: Essential Bone for Body’s Health, Body Posture: Alignment Is The Key for Health), how a recessed maxilla pushes the mandible backward, compressing the airways. To free the airways, the body compensates by elongating the neck, in the classical forward head posture. To further find balance against gravity, the body then creates a curvature in the upper back (Kyphosis) and so on, all the way down to the feet (lordosis, pelvic tilt, etc). When the body is in this compensation mode, we start using muscles that should not be normally involved in our posture, which become tight and more prone to injuries. Organs, blood vessels and nerves become compressed, not being able to work as efficiently as they should.
Different parts of the body cannot be seen in isolation, everything is connected and so are muscles. A muscle tension in the neck propagates up to the head and down to the back. It has been proven that trigger points in the neck has an effect in other areas of the head and face.

The Galea Aponeurotica is a fibrous layer connected to the fascia covering the muscles at the back (Occipitalis) and side (Temporalis) of the head. When these muscles are tight, so is the galea, which compresses the blood vessel bringing nutrients to the hair follicles. The hair and tissues slowly die, the hair miniaturizes and excessive dandruff is generated due skin cells dying faster. An inflammation response of the body is activated and DHT is brought to the scalp to fight the inflammation. This is why DHT increases in a balding scalp [1, 2]. See more of this theory in Hair Loss: The Real Underlying Causes Are Not Androgenetic and More on Hair Loss: Part I.

The current theory of Androgenetic Alopecia believes in DHT (the androgens factor) as the primary cause of hair loss, due to the extra sensitivity to DHT of hair follicles on the top of the head (the genetic factor). What is the explanation behind higher presence of DHT on the affected scalp? Why only the hair on the top are more sensitive to DHT, while the ones on the sides are not? No real explanation. And let us not forget that androgens (like DHT) are expected to convert hair follicles from vellus to terminal and not the other way around.
Sorry, but it is really hard for me to believe that the Androgenetic Alopecia theory has any solid foundation. It ignores the many evidences that are out there and that are not addressed by this theory.
I like to observe and I travel a lot. I am one of those people that would look at faces and hair and analyze them. And in the era of the Internet and Social Media, it is really easy to find anything online and analyze the findings. One day as I was scrolling on posts of hair transplant patients, I could not help but notice that more than a surgery for hair transplant, those people would really need a surgery for their jaw! This is just my way to say that they all exhibited some poor craniofacial development.
In current times we normalized more narrow and recessed jaws, but in just hundreds years, our craniofacial development drastically changed. As a consequence of recessed jaws, malocclusion is more predominant now than it used to be. We don’t enough space for our teeth (including the wisdom teeth) anymore. The teeth become crooked. Read the Causes of Malocclusion article to understand more.

This is all a consequence of our lifestyle: bones remodel through forces. Where does the force modeling our maxilla come from? The tongue! Tongue posture has been affected by pacifiers. dummies, bottle feeding. Babies develop bad habits for tongue posture and function which are kept for the whole life of the individual, which ultimately lead to a poor craniofacial development. Orthotropics is the proof that a correct tongue posture helps to correct malocclusion.

So, here I was, observing these hair transplant patients and their face: all I could see is their poor craniofacial development. Missing or flat cheekbones, crooked noses, narrow palates, recessed maxillas and mandibles and all other signs of poor craniofacial development. The picture below highlights what a good craniofacial development look like, which is really rare to see these days.

Compare this to the pictures below. I’m not cherry picking any case, I could literally post any case I see. I have never seen a person in a hair transplant before/after picture with a good craniofacial development. Never! I apologize to post pictures of people I don’t know. I’m happy to remove them if it’s uncomfortable for them (reach out if that is the case, Contact Us). Otherwise I will let the reader judge on their own. The correlation of hair loss and poor craniofacial development is visually strong.





















Many people, including practitioners, would see nothing wrong in these faces. We have normalized recessed jaws and malocclusions because they are so ingrained in our modern societies, where the use of pacifiers, dummies and bottle feeding is considered normal. But we fail to realize that recessed jaws were not normal in our ancestors and so was not hair loss. The connection is here, I hope someone with resources and passion will one day take these empirical observation and properly prove them.
References

this is the Truth. Hairloss is the result of improper facial development, period. Modern man is considerably uglier, more deteriorated, unhealthier than the ancient man on every level conceivable. Our faces are absolutely cooked, man was not made to be ugly, not made to look the way we do now. It’s extremely heartbreaking in reality
LikeLike
Hai trovato qualche soluzione?
LikeLike
You should look up the hell orthodontic industry is causing people with amputative premolar extraction and retraction with braces. Literally causing the problem/problems that are talked about in this article. They are even so cunning that they do it to well developed people that never needed so-called treatment (torture) in the first place just to get more money in their pocket. There is no cure either. Can’t reverse this. Camouflaging orthodontics, basically all orthodontics, is dangerous. They are doing this mutilation to kids and teens, ruining their lives. Causing a host of serious health problems like TMD, airway issues, ear problems like tinnitus, sleeping problems, tongue dysfunction, etc. Natural is the way to go and don’t let a criminal doctor take your premolars!
LikeLike
“I have never seen a person in a hair transplant before/after picture with a good craniofacial development. Never!” this is what i do, look at before an afters to spot the asymmetry. Its why middle aged men never look right with their new juvenile hairlines we instinctively know its a symmetry issue.
Andrew Tate would be a good case study in poor cranial development and a failed hair transplant, his younger brothers development isn’t as bad.
LikeLike